Identitätsprüfung

Zum Schutz der Patientendaten geben Sie bitte das Geburtsdatum der Patientin ein.

Geburtsdatum nicht korrekt

Medizinische Befunde

Olga Lubeschanin | Geb. 21.12.1958

Medizinische Zusammenfassung

Aktueller Status – Entlassung 05.03.2026

Wiedereinbau der Hüft-TEP rechts – OP am 19.02.2026

Im Universitätsklinikum Heidelberg wurde die neue Prothese erfolgreich eingebaut (stationär 19.02.–05.03.2026). Komplikationsloser Verlauf, reizfreie Wundheilung, keine Keime nachgewiesen.

Implantat:

Fa. AQ Solutions: Revisio M Pfanne mit Lasche rechts Gr. 6/68mm, Schrauben (1x20, 2x30, 1x35, 1x40mm), Darmbeinzapfen 10,5x50mm, PE-Inlay std. 6/36mm
Fa. Depuy Synthes: Corail Revision zementfrei, Schaft 12/14 Gr. 16/135°, Keramikkopf Gr. S (+1,5)

Medikation bei Entlassung:

Amoxicillin 1000mg 1-1-1-0 6 Wochen postop
Xarelto 10mg 0-0-1-0 Phase der Teilbelastung
Ibuflam 600mg 1-0-1-0 2 Wochen (Ossifikationsprophylaxe)
Pantoprazol 30mg 2-2-2-2 Magenschutz
Novaminsulfon 500mg 1-0-0-0 Schmerz
BisoHEXAL 2,5mg 1-0-0-0 Blutdruck
Candesartan 16mg 2-0-0-0 Blutdruck
Zopiclon 7,5mg 0-0-0-1 bei Bedarf zur Nacht

Procedere:

  • 20kg Teillast der operierten Extremität
  • Nahtentfernung um den 14. postop. Tag
  • Amoxicillin 1g 3x tägl. für 6 Wochen postop – regelmäßige Laborkontrolle (BB, Leber, Niere)
  • Xarelto 10mg für Phase der Teilbelastung – Thrombozytenkontrolle (HIT-Ausschluss)
  • Ibuflam 600mg für 2 Wochen (Ossifikationsprophylaxe)
  • Physiotherapie fortführen, nach Wundheilung medico-physikalische Maßnahmen
  • Wiedervorstellung Heidelberg: 09.04.2026 um 10:45 Uhr
  • Verlaufskontrollen: 1, 3 und 5 Jahre postop beim Facharzt

Röntgenkontrollen:

  • 12.02.2026: Präop-Röntgen Becken + Hüfte (mit Spacer)
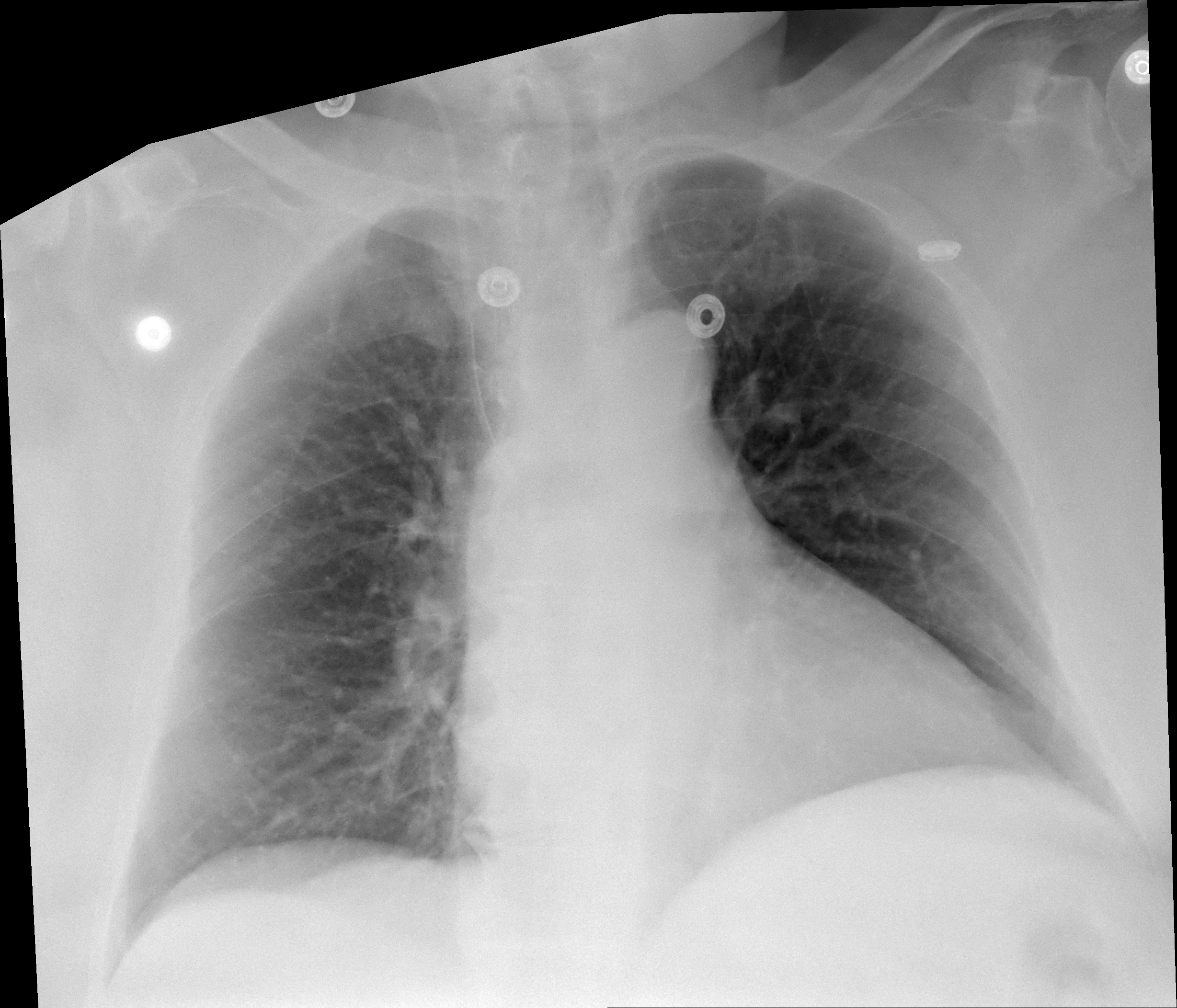
  • 21.02.2026: Bett-Thorax (2 Tage postop)
  • 24.02.2026: Kontrolle Becken + Hüfte rechts – regelrechte Lage, kein Hinweis auf Lockerung/Dislokation

Vorherige Schritte:

  • 30.12.2025: TEP-Entfernung + Spacer-Implantation (Fa. LINK) wegen Pfannendislokation
  • Infektnachweis: Enterococcus faecalis – Antibiose mit Amoxicillin
  • 19.02.2026: Wiedereinbau der Prothese – keine Keime nachgewiesen
Entlassbrief 2. OP (02/2026) Arztbrief Heidelberg (01/2026) Radiologiebefund Becken

Patientendaten

Name:Olga Lubeschanin
Geburtsdatum:21.12.1958
Alter:67 Jahre

Hauptdiagnosen

  • Z.n. Wiedereinbau Hüft-TEP rechts (19.02.2026, Uniklinik Heidelberg)
  • Z.n. TEP-Entfernung + Spacer (12/2025) wegen Protheseninfekt
  • Z.n. Pfannenlockerung mit Dislokation HTEP re. (11/2025)
  • Z.n. Hüft-TEP rechts (06/2024) + Revision (07/2024)
  • Adipositas per magna, aHT

Behandlungsverlauf

12/2023
Erste Bildgebung - CR Aufnahmen zur Diagnostik
01/2024
MRT Lendenwirbelsäule + Röntgen Becken - Diagnostik vor OP-Planung
06-07/2024
Hüft-TEP Operation rechts im Westpfalzklinikum mit CT-Kontrolle
09/2024
Rehabilitation in den Sankt Rochus Kliniken
10/2024
Kontroll-Röntgen - Prothese korrekt positioniert
03/2025
CT Becken + Überweisung zur weiteren Abklärung
11/2025
Luxation/Pfannendislokation der Hüft-TEP rechts festgestellt
12/25–01/26
Uniklinik Heidelberg: TEP-Entfernung, Spacer-Implantation, Infektnachweis (Enterococcus faecalis)
02/2026
Wiedereinbau Hüft-TEP rechts (19.02.2026) – keine Keime nachgewiesen
02/2026
Röntgenkontrollen: Präop (12.02.), Thorax postop (21.02.), Kontrolle Becken + Hüfte (24.02.2026)

Implantat-Informationen

Details zum eingesetzten Implantat finden Sie im Implantatepass:

Implantatepass öffnen

Bildvergleich: Behandlungsverlauf

Röntgenbilder im Verlauf: korrekte Lage → Luxation → neue TEP nach Wiedereinbau

07.10.2024 - Korrekt

Röntgen Oktober 2024

Prothesenkopf sitzt korrekt in der Pfanne

21.11.2025 - Luxiert

Röntgen November 2025

Prothesenkopf aus Pfanne luxiert

24.02.2026 - Neue TEP

Röntgen Februar 2026

Neue Hüft-TEP rechts nach Wiedereinbau

Aktuelle Laborwerte (21.11.2025)

Labordiagnostik im Rahmen der aktuellen Aufnahme

Laborbefund Arztbericht

Weiteres Vorgehen

  • OP am 19.02.2026: Wiedereinbau der Hüft-TEP rechts erfolgreich durchgeführt
  • Keine Keime nachgewiesen
  • OP-Bericht steht noch aus
  • Postoperative Nachsorge und Rehabilitation folgen

Alle Befunde

Akuter Befund: Hüftprothesen-Luxation

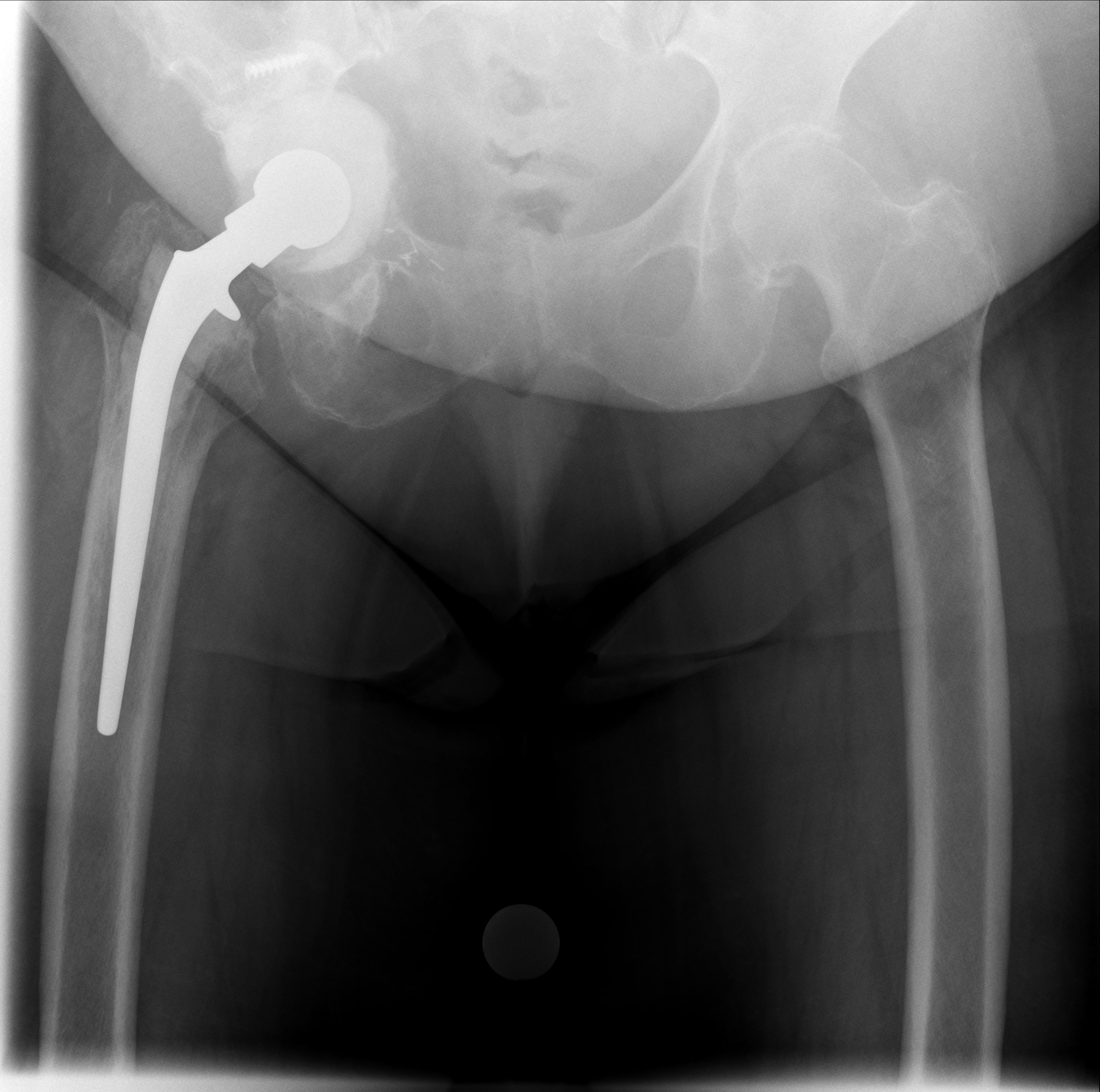
Vergleich der Röntgenbilder zeigt eine Luxation der Hüft-TEP rechts. Der Prothesenkopf ist aus der Pfanne ausgerenkt.

07.10.2024 - Prothese korrekt

Becken 2024

Prothesenkopf sitzt in der Pfanne

21.11.2025 - Luxation!

Becken 2025

Prothesenkopf luxiert nach medial/kaudal

24.02.2026 - Neue TEP!

Becken 2026

Neue Hüft-TEP rechts nach Wiedereinbau

Verlauf: Die Luxation/Pfannendislokation führte zur stationären Aufnahme im Universitätsklinikum Heidelberg (28.12.2025). Am 30.12.2025 wurde die TEP entfernt und ein Spacer implantiert. Infektnachweis: Enterococcus faecalis. Am 19.02.2026 wurde die neue Prothese erfolgreich eingebaut (stationär bis 05.03.2026). Komplikationsloser Verlauf, regelrechte Implantatlage im Röntgen. Entlassung mit 20kg Teillast, Amoxicillin für 6 Wochen. Wiedervorstellung am 09.04.2026.

02/2026 - NEU

Vorläufiger Entlassbrief 2. OP Heidelberg

PDF

Vorläufiger Entlassungsbrief nach Wiedereinbau der Hüft-TEP rechts am 19.02.2026. Keine Keime nachgewiesen.

02.01.2026

Arztbrief Uniklinik Heidelberg

PDF

Entlassungsbrief: TEP-Entfernung, Spacer-Implantation, Infektnachweis (Enterococcus faecalis). Stationär 28.12.2025–19.01.2026.

21.11.2025

Labor Arztbericht

PDF

Aktueller Arztbericht zur Laboruntersuchung.

21.11.2025

Laborbefund

PDF

Aktueller Laborbefund mit Blutwerten.

21.11.2025

Radiologiebefund Becken

PDF

Radiologischer Befund zur Röntgenaufnahme Becken.

21.11.2025

Radiologiebefund Hüfte

PDF

Radiologischer Befund zur Röntgenaufnahme Hüfte rechts.

04.03.2025

CT Becken mit Radiologiebefund

DICOM PDF

Aktuelles CT des Beckens mit schriftlichem Befund.

Befund öffnen
20.03.2025

Überweisungsschein

PDF

Aktuelle Überweisung zur weiteren Behandlung.

Öffnen
05.12.2024

Laborbefund

PDF

Aktueller Laborbefund mit Blutwerten.

Öffnen
07.10.2024

Röntgen Becken (PELVIS)

DICOM

Röntgenaufnahme des Beckens.

10.09.2024

Entlassungsbericht Sankt Rochus Kliniken

PDF

Entlassungsbericht nach stationärem Aufenthalt.

Öffnen
20.09.2024

Laborbefund

PDF

Laborbefund mit Blutwerten.

Öffnen
04.09.2024

Laborbefund

PDF

Laborbefund mit Blutwerten.

Öffnen
11.07.2024

Entlassungsbericht Westpfalzklinikum

PDF

Entlassungsbericht nach OP/stationärem Aufenthalt.

Öffnen
01.07.2024

CT Becken

DICOM

Computertomographie des Beckens (781 Bilder).

24.06.2024

Implantatepass

PDF

Dokumentation der implantierten Materialien.

Pass 1 Pass 2
29.01.2024

Röntgen Becken (PELVIS)

DICOM

Röntgenaufnahme des Beckens.

19.01.2024

MRT LWS (Lendenwirbelsäule)

DICOM

Magnetresonanztomographie der Lendenwirbelsäule (71 Bilder).

07.12.2023

CR Papierausdruck

PDF

Computergraphie-Ausdruck.

Öffnen
Dauerhaft

Anästhesiepass

PDF

Wichtige Informationen für Anästhesie.

Öffnen
21.11.2025

Röntgen Becken (aktuell)

DICOM JPEG HQ

Aktuelle Röntgenaufnahme des Beckens (2836x2336 px).

21.11.2025

Röntgen Hüfte rechts (aktuell)

DICOM JPEG HQ

Aktuelle Röntgenaufnahme der rechten Hüfte (2836x2336 px).

PDF-Dokumente

02/2026 - NEU

Vorläufiger Entlassbrief 2. OP Heidelberg

Vorläufiger Entlassungsbrief nach Wiedereinbau der Hüft-TEP rechts am 19.02.2026.

PDF öffnen
02.01.2026

Arztbrief Uniklinik Heidelberg

Entlassungsbrief nach TEP-Entfernung und Spacer-Implantation. Infektnachweis Enterococcus faecalis.

PDF öffnen
21.11.2025

Labor Arztbericht

Aktueller Arztbericht zur Laboruntersuchung.

PDF öffnen
21.11.2025

Laborbefund

Aktueller Laborbefund mit Blutwerten.

PDF öffnen
21.11.2025

Radiologiebefund Becken

Befund zur aktuellen Röntgenaufnahme Becken.

PDF öffnen
21.11.2025

Radiologiebefund Hüfte

Befund zur aktuellen Röntgenaufnahme Hüfte rechts.

PDF öffnen
04.03.2025

CT Radiologiebefund

Befundbericht zur CT-Untersuchung des Beckens.

PDF öffnen
20.03.2025

Überweisungsschein

Überweisung zur Weiterbehandlung.

PDF öffnen
05.12.2024

Laborbefund (Dezember)

Aktuelle Laborwerte.

PDF öffnen
10.09.2024

Entlassungsbericht Sankt Rochus Kliniken

Bericht nach stationärem Aufenthalt.

PDF öffnen
20.09.2024

Laborbefund (September)

Laborwerte September.

PDF öffnen
04.09.2024

Laborbefund (September)

Laborwerte Anfang September.

PDF öffnen
11.07.2024

Entlassungsbericht Westpfalzklinikum

Bericht nach OP im Westpfalzklinikum.

PDF öffnen
24.06.2024

Implantatepass 1

Dokumentation der Implantate.

PDF öffnen
24.06.2024

Implantatepass 2

Dokumentation der Implantate (Teil 2).

PDF öffnen
07.12.2023

CR Papierausdruck

Computergraphie-Ausdruck.

PDF öffnen
Dauerhaft

Anästhesiepass

Wichtige Informationen für Narkosen.

PDF öffnen

Bildgebende Diagnostik

Alle Bilder als JPEG verfügbar: 1.716 Bilder wurden verlustfrei aus DICOM konvertiert und können direkt im Browser angezeigt werden. NEU: 6 Röntgenbilder vom Februar 2026 (prä- und postoperativ).

24.02.2026 - Postoperativ

Röntgen Becken + Hüfte rechts (Kontrolle nach Wiedereinbau)

3 Aufnahmen | Becken tief + 2x Hüfte Lauenstein | 5 Tage nach OP

21.02.2026

Bett-Thorax (2 Tage postoperativ)

1 Aufnahme | 2457x2105 px

12.02.2026

Röntgen Becken + Hüfte rechts (Präoperativ, mit Spacer)

2 Aufnahmen | Becken tief mit King Mark + Hüfte Lauenstein R

21.11.2025

Röntgen Becken + Hüfte rechts

2 Aufnahmen | 2836x2336 px | 4.3 MB

04.03.2025

CT Becken

853 Bilder in 4 Serien | 86 MB

07.10.2024

Röntgen Becken (PELVIS)

2 Aufnahmen | 3040x2466 px | 6.9 MB

01.07.2024

CT Becken

780 Bilder | 512x512 px | 101 MB

29.01.2024

Röntgen Becken (PELVIS)

2 Aufnahmen | 3040x2466 px | 6.2 MB

19.01.2024

MRT Lendenwirbelsäule (LWS)

71 Bilder | 1024x1024 px | 15 MB

DICOM Originaldateien

21.11.2025

Röntgen Becken

Aktuelle Aufnahme

Download
21.11.2025

Röntgen Hüfte rechts

Aktuelle Aufnahme

Download
04.03.2025

CT Becken

4 Serien verfügbar

07.10.2024

PELVIS Becken

Röntgenaufnahme

01.07.2024

CT Becken

781 Bilder

29.01.2024

PELVIS Becken

Röntgenaufnahme

19.01.2024

MRT LWS

71 Bilder

Chronologischer Verlauf

24. Februar 2026
Postoperative Röntgenkontrolle

Röntgen Becken tief + 2x Hüfte Lauenstein R – Kontrolle 5 Tage nach Wiedereinbau.

21. Februar 2026
Bett-Thorax

Röntgen-Thorax 2 Tage nach OP.

19. Februar 2026
Wiedereinbau Hüft-TEP rechts – Uniklinik Heidelberg

Stationär 19.02.–05.03.2026. Zementfreie TEP (Fa. AQ Solutions Revisio M Pfanne + Fa. Depuy Synthes Corail Revision Schaft). Komplikationsloser Verlauf, reizfreie Wundheilung. 20kg Teillast. Amoxicillin 1g 3x tägl. für 6 Wochen. Wiedervorstellung 09.04.2026.

12. Februar 2026
Präoperatives Röntgen

Röntgen Becken tief mit King Mark + Hüfte Lauenstein R. Aufnahmen mit Spacer vor Wiedereinbau.

Dezember 2025 – Januar 2026
Universitätsklinikum Heidelberg

Stationär 28.12.2025–19.01.2026. OP am 30.12.2025: Entfernung der Hüft-TEP rechts, Spacer-Implantation (Fa. LINK). Infektnachweis: Enterococcus faecalis. Antibiose mit Amoxicillin 1g 3x tgl. Wiedereinbau frühestens 6 Wochen nach Spacereinbau.

November 2025
Aktuelle Röntgenbilder + Labor

Röntgen Becken und Hüfte rechts mit Radiologiebefunden, Laborbefund und Arztbericht

März 2025
CT Becken + Überweisung

CT-Untersuchung mit Befund, Überweisung zur weiteren Behandlung

Dezember 2024
Laborkontrolle

Laboruntersuchung mit Blutwerten

Laborbefund
Oktober 2024
Kontroll-Röntgen Becken

Verlaufskontrolle mittels Röntgen

September 2024
Rehabilitation Sankt Rochus Kliniken

Stationärer Aufenthalt mit Entlassungsbericht, mehrfache Laborkontrollen

Juni/Juli 2024
Operation Westpfalzklinikum + CT

Stationärer Aufenthalt mit Hüft-TEP Operation, CT-Untersuchung, Implantatepass und Anästhesiepass erstellt

Januar 2024
MRT LWS + Röntgen Becken

MRT der Lendenwirbelsäule und Röntgen des Beckens zur Diagnostik

Dezember 2023
Erste Bildgebung

CR (Computergraphie) Aufnahmen

CR Ausdruck

DICOM Downloads für PACS-Import

Hinweis: ZIP-Archive mit DICOMDIR für direkten Import in PACS-Systeme. Kompatibel mit Horos (Mac), RadiAnt (Windows), OsiriX, 3D Slicer und anderen DICOM-Viewern.

24.02.2026 - POSTOP

Röntgen Becken tief (nach Wiedereinbau)

DICOM

Kontrolle Becken 5 Tage nach Wiedereinbau TEP

24.02.2026 - POSTOP

Röntgen Hüfte Lauenstein R (1)

DICOM

Kontrolle Hüfte 5 Tage nach Wiedereinbau TEP

24.02.2026 - POSTOP

Röntgen Hüfte Lauenstein R (2)

DICOM

Kontrolle Hüfte 5 Tage nach Wiedereinbau TEP

21.02.2026 - POSTOP

Bett-Thorax

DICOM

Thorax-Röntgen 2 Tage nach Wiedereinbau TEP

12.02.2026 - PRÄOP

Röntgen Becken tief mit King Mark

DICOM

Präoperativ mit Spacer vor Wiedereinbau

12.02.2026 - PRÄOP

Röntgen Hüfte Lauenstein R

DICOM

Präoperativ mit Spacer vor Wiedereinbau

21.11.2025

Röntgen Becken

DICOM

Luxation der Hüft-TEP

21.11.2025

Röntgen Hüfte rechts

DICOM

Luxation der Hüft-TEP

04.03.2025

CT Becken

DICOM

CT-Untersuchung mit 4 Serien (853 Bilder)

07.10.2024

PELVIS Becken

DICOM

Kontroll-Röntgen - Prothese noch korrekt positioniert

01.07.2024

CT Becken

DICOM

CT-Untersuchung post-OP (780 Bilder)

29.01.2024

PELVIS Becken

DICOM

Röntgen vor Hüft-TEP Operation

19.01.2024

MRT LWS (Lendenwirbelsäule)

DICOM

MRT mit 71 Bildern

Komplett

Alle DICOM-Bilder mit DICOMDIR

DICOM

Komplettes DICOM-Archiv (1.711 Bilder) mit DICOMDIR für direkten PACS-Import

PDF-Dokumente

Serie Bild 1 / 1
Serie
Patient: Lubeschanin, Olga
Studie: -
Datum: -
Bild: 1 / 1
Mausrad / Pfeiltasten zum Navigieren | Leertaste: Play/Pause | ESC: Schließen